La Biopsia Prostática eco dirigida (clásica) es la base del diagnóstico del cáncer de próstata, pero, en el 60% no se detecta Cáncer y hemos sometido al paciente a un procedimiento invasivo. Existen múltiples investigaciones encaminadas a seleccionar más a los pacientes que deben ser sometidos a biopsia de próstata y así, evitar biopsias innecesarias.
Este capítulo ha sido actualizado en octubre de 2018 por el Dr. Luis Rodríguez-Vela, Director del Instituto de Urología y Medicina Sexual y Profesor de Urología de la Universidad de Zaragoza. Especialista en Urología desde 1988. Desde entonces, ha diagnosticado y tratado a miles de pacientes con enfermedades prostáticas.
¿Qué es el cáncer de próstata?
El cáncer de próstata se produce por un crecimiento maligno de la próstata. El cáncer de próstata es el tumor más frecuente del varón, aunque debido a su crecimiento lento, constituye la tercera causa de mortalidad por cáncer en el hombre.
Entre el 30 y 40% de los varones de 50 a 80 años pueden tener cáncer de próstata sin síntomas clínicos (latente). En estos casos, sólo una revisión prostática diagnosticará (PSA y Tacto Rectal) dichos cánceres.
La frecuencia del cáncer de próstata aumenta con la edad y este cáncer es más frecuente en varones con familiares que han tenido cáncer de próstata.
¿Qué síntomas produce el cáncer de próstata?
El cáncer de próstata se desarrolla en la zona periférica de la próstata y habitualmente no produce síntomas o los produce muy tardíamente. Solo presentan síntomas clínicos uno de cada nueve varones con cáncer de próstata.
Además, las manifestaciones clínicas del cáncer de próstata son muy parecidas a las de la Hiperplasia Benigna de próstata (HBP) y por la clínica no puede diferenciarse entre un cáncer y un crecimiento benigno.
El cáncer de próstata no se encuentra si no se busca, ya que solo produce síntomas cuando está muy avanzado. En el Instituto Urología y Medicina Sexual aconsejamos que todos varones mayores de 50 años revisen anualmente su próstata (chequeo prostático) para descartar la presencia de un cáncer de próstata. En varones que tienen antecedentes familiares de Ca P la revisión debe empezar a los 40 años.
Recuerde que un cáncer de próstata diagnosticado en una etapa inicial (localizado) puede curarse.
El médico especialista en los problemas de la próstata es el urólogo. En el Instituto Urología y Medicina Sexual somos especialistas en la Salud Integral del Varón y realizamos un estudio personalizado y adaptado a las necesidades de cada paciente.
En varones mayores de 50 años, en la revisión integral valoramos:
- Si existe o no un cáncer de próstata
- Si el crecimiento es benigno, que síntomas clínicos produce en el paciente y si es necesario un tratamiento
- Como afecta la próstata a la sexualidad
- Como funciona la erección
- El nivel del deseo sexual
¿Qué problemas presenta el PSA en el diagnóstico del cáncer de próstata?
Actualmente el diagnóstico precoz del cáncer de próstata (CaP) depende en gran medida de la determinación en sangre del antígeno prostático específico (PSA) y del tacto rectal. Ambas pruebas no son específicas y un resultado sugestivo puede desencadenar la realización de una biopsia de próstata para confirmar el diagnóstico.
El marcador tumoral más usado en el cáncer de próstata es el antígeno prostático específico (PSA). No obstante, el PSA es un marcador más próstata-específico que cáncer-específico, lo que le convierte en imperfecto. Por ejemplo, el PSA puede estar elevado en pacientes sin cáncer de próstata, pero que presentan una próstata grande con hiperplasia prostática benigna, o en varones añosos con HBP o en pacientes con prostatitis o infección de orina.
La Biopsia Prostática ecodirigida es la base del diagnóstico del CaP. Pero, en pacientes con tacto rectal y/o PSA sugestivos de cáncer de próstata sometidos a biopsia, en el 60% no se detecta malignidad en el estudio anatomo-patológico. Es decir, de cada 100 pacientes que sometemos a Biopsia de Prostata con sospecha de CaP (tacto rectal sospechoso y/o PSA elevado), solamente 40 presentan cáncer de próstata y 60 han sufrido un procedimiento invasivo, con posibles efectos adversos y resultado de benignidad.
El alto porcentaje de biopsias iniciales negativas y posteriormente repetidas conlleva considerables costes sanitarios e impacta negativamente en la calidad de vida de los pacientes debido a las complicaciones que puede producir.
¿Cómo podemos evitar biopsias de próstata?
La Biopsia Prostática eco dirigida es la base del diagnóstico del CaP. pero, en el 60% no se detecta Cáncer. Existen múltiples investigaciones encaminadas a seleccionar más a los pacientes que deben ser sometidos a biopsia de próstata y así, evitar biopsias innecesarias.
Actualmente tenemos tres pruebas o estudios no invasivos que ayudan a seleccionar los pacientes y disminuir la realización de biopsias:
- Resonancia Magnética Nuclear de Próstata (RMN)
- Select MDx (biomarcadores en orina)
- 4Kscore Test (en sangre)
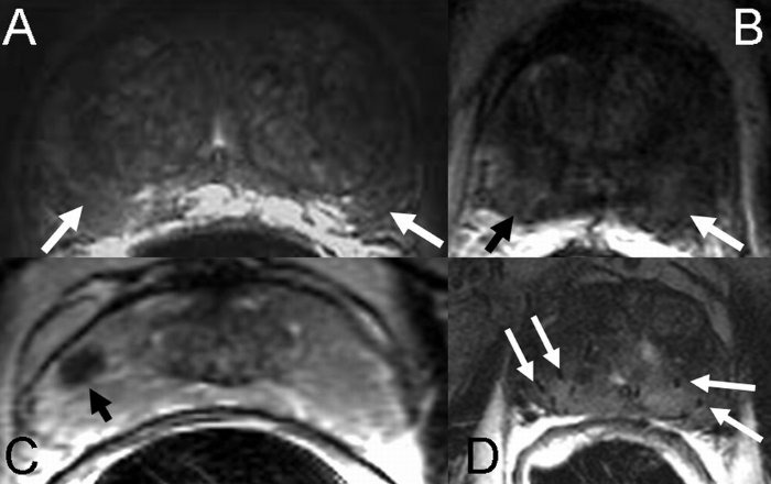
¿Qué aporta la RMN en el diagnóstico del Cáncer de Próstata?
El estudio de la próstata mediante Resonancia Magnética Nuclear (RMN) requiere un moderno equipo de RMN (multiprámetrica) y un radiólogo experto en esta técnica.
En hombres con sospecha de cáncer de próstata se realiza un estudio con 3 secuencias: planos en T2, difusión axial y estudio de perfusión.
La RMN es muy fiable para pacientes que ya han sufrido biopsia de próstata, el PSA sigue subiendo y se les plantea la realización de una nueva biopsia. En estos casos la RMN nos permite valorar si existen focos-zonas sugestivas de cáncer o si la próstata es normal. Si la RMN nos identifica zonas sugestivas de cáncer debemos realizar biopsias dirigidas en esta zona sospechosa que nos marca la RMN. Si la RMN es normal, no hay zonas sospechosas, puede evitarse la biopsia.
Actualmente, la RMN también es muy útil en pacientes con PSA elevado y Tacto Rectal Normal, en los que se plantea la realización de una 1ª biopsia por PSA alto. En estos casos, la presencia de zonas sospechosas de cáncer en la RMN nos indicará la necesidad de realizar biopsia de próstata y si el estudio con RMN es normal, sin focos sospechosos, podría evitarse la biopsia.
El estudio PROMIS (Prostate M R Imaging Study) ha investigado si la RMN-mp de la próstata antes de la biopsia podría excluir con seguridad la presencia de un cáncer de próstata significativo (alto grado) y evitar la realización de la biopsia. (Hashim y cols)
Los resultados del estudio PROMIS demostraron que la RMN-mp es dos veces más sensible que la biopsia clásica (guiada por ecografía) para detectar cáncer de próstata.
En este estudio, la RMN mp tuvo un valor predictivo negativo del 89% y permitía evitar biopsia de próstata al 27% de los pacientes.
La RMN-mp es la mejor prueba para planificar el diagnóstico y seleccionar pacientes candidatos a biopsia de próstata. Esta RMN mp:
- Nos indica si hay zonas sospechosas de cáncer y su localización precisa
- Sus imágenes nos guían con precisión para realizar la biopsia de próstata por fusión
- Nos informa si hay una o varias zonas sospechosas de cáncer y esto es importante para la biopsia y la planificación del tratamiento
- Nos informa del grado de agresividad del tumor
¿Qué es el Test Select MDx?
El Test Select MDx se realiza en la orina del paciente tras un tacto rectal (masaje prostático). En esta orina se determinan dos bio-marcadores tumorales (HOXC6 y DLX19). El resultado de estos bio-marcadores se combina con parámetros clínicos (edad, PSA total, volumen de próstata, tacto rectal y antecedentes familiares de Ca P). El Test Select MDx nos ofrece una puntuación que permite valorar el riesgo de que un varón tenga un cáncer de próstata de alto grado. También se le denomina Biopsia líquida.
En diferentes estudios, este Modelo Select MDx ha demostrado que permite identificar a varones con riesgo de padecer cáncer de próstata de alto grado que pueden beneficiarse de una biopsia de próstata o de una RMN mp. También selecciona a hombres con bajo riesgo en los que se puede evitar la biopsia de próstata.
La RMN y el Test Select MDx se complementan:
- Test Select MDx identifica varones con riesgo de cáncer de próstata de alto grado
RMN puede definir la localización del tumor y dirigir la biopsia de próstata por fusión
¿Qué es el 4K score Test?
El 4Kscore Test se realiza en un análisis de sangre y nos permite evaluar el riesgo individual, personalizado, de que el paciente albergue un cáncer de próstata de alto grado.
El 4Kscore Test combina los datos procedentes de la determinación de 4 sustancias (Kalicreinas) en sangre (PSA, PSA libre, PSA intacto y Calicreína humana 2), junto con los datos del paciente relativos a su edad, tacto rectal y si ha sufrido o no biopsia previa. Estos datos comparados con los de más de 10.000 pacientes evaluados en estudios previos permiten proporcionar un riesgo individualizado de padecer CaP de alto grado.
Tiene el inconveniente de que no ofrece información sobre la localización del cáncer y lo que nos dice es la probabilidad de que el paciente tenga un cáncer de próstata de alto grado. Si la probabilidad es alta, el siguiente paso será la biopsia de próstata. Y si deseamos hacer biopsia de próstata por fusión (la mejor técnica) es imprescindible realizar una Resonancia Magnética Nuclear que nos indique donde están las zonas sospechosas de cáncer.
El 4Kscore Test no debe realizarse en pacientes ya diagnosticados de CaP, o si en los 6 meses anteriores han tomado dutasteride o finasteride, o se les ha realizado alguna cirugía prostática.
El 4K no diagnostica el Ca P, solamente establece la probabilidad de encontrar un Ca P agresivo.
No es un marcador único, es una combinación ponderada de 7 variables que predice el cáncer de próstata (CaP) de alto grado.
¿Qué aporta el PCA3 en orina en el diagnóstico del cáncer de próstata?
El PCA 3 (prostate carcinoma gen 3), es un gen expresado sólo en el tejido prostático humano, y está altamente sobre-expresado en el cáncer de próstata, por lo que es muy útil como marcador tumoral. El PCA3 es un análisis genético en orina que detecta la presencia de células cancerígenas prostáticas.
La mayor utilidad del PCA3 es ayudar a seleccionar los pacientes que deben ser sometidos a Biopsia de Próstata y disminuir la necesidad de Biopsias.
Presenta los mismos inconvenientes que el 4k score y es que nos ofrece información sobre la posibilidad de que el paciente padezca un cáncer de próstata pero no nos informa sobre la localización del cáncer.
¿Quién debe analizar todos los resultados y decidir?
Un urólogo con amplia experiencia en patología prostática es quien debe coordinar el proceso diagnóstico del cáncer de próstata. En casos complejos, debe tener encima de la mesa múltiples parámetros y debe saber analizarlos:
- Historia (antecedentes familiares, edad, clínica)
- Tacto rectal bien realizado
- PSA total, PSA libre, PSA velocidad, PSA densidad, patrón de PSA
- Resonancia Magnética Nuclear
- Test Select MDx en casos seleccionados
En estos casos complejos, un urólogo experto debe indicarle si debe someterse a una biopsia de próstata o bien si puede evitarse. En el Instituto Urología y Medicina Sexual de Zaragoza tenemos amplia experiencia en el diagnóstico y tratamiento del cáncer de próstata y disponemos de las pruebas más avanzadas para ofrecerle el mejor diagnóstico y poder evitar biopsias innecesarias.
CONSEJOS
En el Instituto Urología y Medicina Sexual aconsejamos que todos varones mayores de 50 años revisen anualmente su próstata para descartar la presencia de un cáncer de próstata. Si existen antecedentes familiares, la 1ª revisión debe realizarse a los 40 años.
El diagnóstico precoz del cáncer de próstata depende básicamente del PSA y tacto rectal.
La Resonancia Magnética Nuclear nos indica si hay zonas sospechosas de cáncer y su localización precisa.
El Test Select MDx selecciona a varones con alto riesgo de presentar Ca P de alto grado que pueden beneficiarse de una RMN o de una biopsia.
La Biopsia Prostática ofrece el diagnóstico definitivo de cáncer de próstata. La mejor técnica es la Biopsia de Próstata por Fusión.
